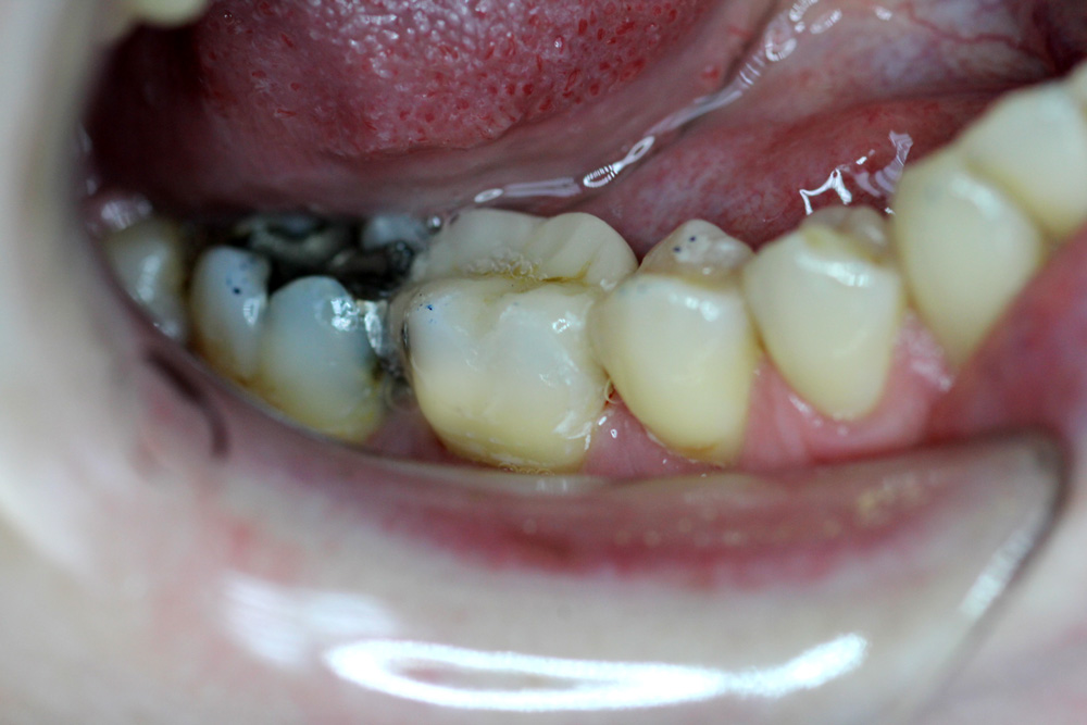
les inlays et onlays
L'onlay (ou inlay selon la partie de la dent à réparer) est une pièce prothétique, le plus souvent en céramique. Il reconstitue la partie très abîmée ou très délabrée d'une dent :
Onlay : sur la dent
Inlay : dans la dent
En effet, parfois une carie est si étendue (sur plusieurs parois d'une dent par exemple) qu'une réparation classique par composite ou amalgame est impossible. Parfois, un inlay vaut mieux qu'une couronne.
Un Onlay vaut mieux qu'une Couronne…
La préservation tissulaire est un devoir qui s’inscrit en droite ligne du primum non nocere d’Hippocrate. En dentisterie restauratrice plus que dans tout autre domaine médical car les tissus constitutifs des organes dentaires ne sont pas capables de se régénérer ad integrum après une destruction importante. Autrement dit : ce qui est perdu : est perdu à vie! Pendant des décennies, la dentisterie à Papa, nous a fait croire que le meilleur moyen de protéger les dents était de les dévitaliser, de les tailler et de les recouvrir de couronnes prothétiques. En plus, et ça tombait très bien, cela permettait de gagner sa vie puisque tout cela était remboursé par la Sécurité Sociale. C’était tout de même moins dramatique que la dentisterie à Papy qui elle, pour survivre, devait extraire des dents et les remplacer par des prothèses amovibles. Triste logique de la Nomenklature Sécu… Aujourd’hui, tout cela devrait être révolu. Des études scientifiques pertinentes ont été réalisées et ont montré des résultats incroyablement logiques :
- Plus on taille une dent, plus elle perd de sa structure.
- Plus une dent perd de sa structure, plus elle devient fragile.
- Les inlays/onlays en céramique pressée ou par CFAO une bonne résistance mécanique.
- Les inlays/onlays collés donnent de bons résultats sur les dents fêlées ou fissurées.
- Les inlays/onlays collés donnent de bons résultats dans le temps.
- Le collage permet de renforcer la cohésion de l’ensemble dent/colle/restauration.
- Les dents dépulpées, taillées, inlay-corisées, couronnées ou pire support-de-bridgées connaissent des complications à plus ou moins long terme : infections péri-apicales, caries secondaires, fractures radiculaires… dont le seul traitement valable est souvent l’extraction.
- Les restaurations partielles collées peuvent, en cas d’échec (décollement, fracture), être renouvelées ou au pire remplacées par une coiffe périphérique.
Sources : thedentalist.fr.
Les facettes en céramique
Les facettes en céramique représentent certainement aujourd’hui l’utilisation la plus esthétique des matériaux céramiques, dans le respect maximal de la dent et avec un taux de satisfaction des patients de 97 %.
Définition : la facette est un artifice prothétique de fine épaisseur (0,4 à 0,8 mm), collé à l’avant de l’émail d’une dent. Il est destiné à corriger la couleur, la position ou la forme d’une dent lorsque des traitements moins invasifs ne peuvent pas être mis en œuvre.
Indications
3 grandes indications justifient l’utilisation des facettes en céramique collées sur l‘émail.Les corrections de couleur :
- lorsqu’un éclaircissement ne fonctionne pas (ex : fluorose, traumatisme interne)
- en cas de colorations dues à la prise d’un antibiotique de la famille des tetracyclines durant l’enfance
- dents trop pointues
- fermeture des espaces disgracieux entre les dents
- allongement des dents trop courtes
- réparation d’une fracture étendue
- réparation d’une usure de l’émail
- malformation généralisée de l’émail
Sources : dentagora.fr.
