Le cabinet est equipé d'une radiographie panoramique
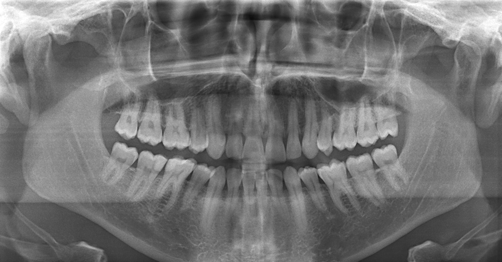
Le panoramique dentaire est une radiographie qui permet de visualiser sur un seul cliché (une seule radio), entre autres :
- Les arcades dentaires.
- Les maxillaires.
- Les parties inférieures des fosses nasales.
- Les sinus maxillaires.
Chez l'enfant, le panoramique dentaire permet de visualiser l'ensemble des germes des dents définitives, c'est-à-dire des futures dents de l'adulte. Ceci autorise l'évaluation de l'âge dentaire.
Cette incidence radiologique, diagnostique également, les lésions situées aux extrémités des racines des dents comme par exemple un granulum.
Radiographie panoramique dentaire
Appareil de radiographie panoramique
Le cabinet est équipé d'une radiographie retro alvéolaire
C'est l'examen radiologique le plus pratiqué dans un cabinet dentaire.
C'est une radiographie de petite taille, prise dans la bouche du patient. Elle enregistre 2 à 3 dents, un peu comme un gros plan.
On y voit les caries, les traitements déjà réalisés (couronnes, amalgames, etc...) et les pertes d'os de soutien de la dent.
Radiographie retroalveolaire
Appareil de radiographie retroalveolaire
Sources : vulgaris-medical.com
